Article No, ART251
Clinical Evaluation of the IOS Distal Cinch Pliers: Precision, Control, and Wire Integrity in Orthodontics


Dr.Nielson’s clinical evaluation investigates the performance and precision of the IOS Mini Distal Cinch Pliers in achieving controlled distal bends during orthodontic finishing. A comparative analysis with conventional Hammerhead pliers highlights improvements in wire integrity, torque accuracy, and patient comfort and a reduced rate of bracket debonding.
Distal wire cinching plays a vital role in orthodontic treatment, as it prevents wire migration and enhances arch stability. However, conventional pliers often present clinical challenges such as wire distortion, bracket debonding, and patient discomfort. The IOS Distal Cinch Pliers were specifically developed to enhance clinical control, ergonomic handling, and mechanical precision.

IOS Mini Cinch Back Plier SKU#18-309

Comparison between the . IOS Mini Cinch Back Plier SKU#18-309 and the regular Cinch Back Plier.
Clinical evaluations were conducted using standard 0.018 x 0.025 stainless steel archwires. A comparative analysis between a regular Hammerhead plier and the IOS Mini Cinch Back Plier was performed to assess bend uniformity, distal control, and surface integrity. Identical procedural parameters were followed to ensure consistency and reproducibility.

IOS Mini Cinch Back Plier SKU#18309 in active use
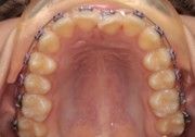
The IOS Mini Cinch Back Plier demonstrated superior control and a significantly reduced risk of bracket debonding and wire deformation compared to the regular Hammerhead plier from a different brand. Wire bends achieved with the IOS Mini Cinch Back Plier maintained integrity even under high-torque activation. The following images illustrate key differences in bend quality, wire distortion, and proximity to the bracket between the IOS Mini Cinch Back Plier and the conventional Hammerhead plier.

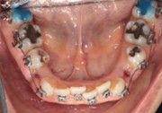
The right side shows a full C-bend from cinching too far from the bracket, then re-bending with a regular Hammerhead plier from a different brand.

The right side shows the distortion produced while bending with a regular Hammerhead plier from a different brand.

The right side has an acute (distorted) bend after bending the wire with a regular Hammerhead plier from a different brand.

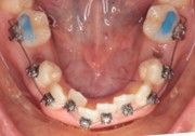
The right side shows a wide, clean bend with no distortion and minimal extra wire while bending with the IOS Mini Cinch Back Plier.

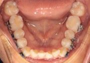
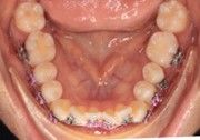
Both sides exhibit ideal bends when bent with the IOS Mini Cinch Back Plier.

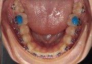
The left side shows a near-perfect 90° bend, created with maximum force using the IOS Mini Cinch Back Plier (not necessary, but Dr. Nielson wanted to test the upper limit).

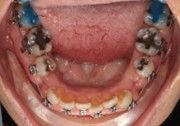
Again, ideal bends were made very close to the bracket with the IOS Mini Cinch Back Plier, with no risk of dislodgement.
Below is a summary of Dr. Nielson’s comparative observations between the conventional Hammerhead pliers and the IOS Cinch Back Plier:

The ergonomic design and enhanced clamp mechanism of the IOS Mini Cinch Back Plier allow for consistent, controlled bends without compromising bracket positioning. Compared to conventional tools, the IOS plier minimizes wire deformation and improves procedural efficiency. Clinically, this translates into reduced chair time and improved treatment predictability and patient comfort.
The IOS Mini Cinch Pliers represent a significant advancement in orthodontic finishing tools. Their enhanced precision, control, and ergonomic design contribute to reduce the risk of bracket debonding, superior wire handling, reduced distortion, and improved patient comfort.